13.05.2021 09:30 0 NW/Szpitale Pomorskie
Dzięki mało inwazyjnemu zabiegowi, jaki przeprowadzono w Kaszubskim Centrum Chorób Serca i Naczyń w Wejherowie kolejny pacjent uniknie częstych wizyt w szpitalu. U chorego przeprowadzono ablację, która jest najskuteczniejszą metodą leczenia osób z migotaniem przedsionków.
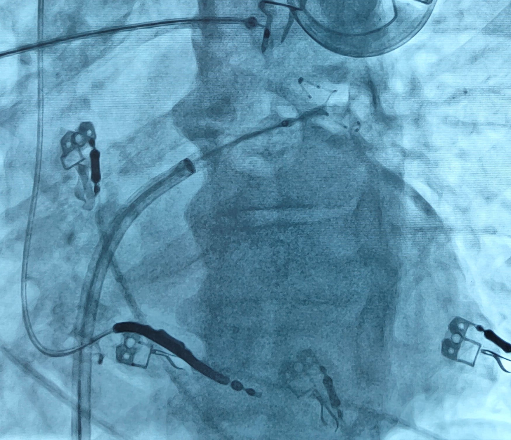
U chorego z implantowanym przedsionkowym regulatorem przepływu przeprowadzono zabieg krioablacji balonowej żył płucnych. Przyczynia się on do zmniejszenia incydentów objawowej arytmii i do zmniejszenia śmiertelności i konieczności hospitalizacji.
– Podstawowym zabiegiem ablacji w leczeniu migotania przedsionków jest izolacja żył płucnych polegająca na zniszczeniu połączenia między lewym przedsionkiem, a żyłami płucnymi, których nieprawidłowa aktywność jest główną przyczyną tej arytmii – informuje Małgorzata Pisarewicz, rzecznik prasowy Szpitali Pomorskich.

Fot. Szpital Specjalistyczny im. Floriana Ceynowy w Wejherowie
Zabieg przeprowadza się metodą krioablacji balonowej lub z wykorzystaniem prądu o częstotliwości radiowej. W obu przypadkach niezbędne jest wykonanie punkcji transseptalnej umożliwiającej wprowadzenie do lewego przedsionka elektrod ablacyjnych.
– U chorego z implantowanym przedsionkowym regulatorem przepływu można ten etap zabiegu ominąć i wprowadzić balon do krioablacji bezpośrednio przez otwór w implantowanym urządzeniu. Skraca to czas trwania procedury i pozwala uniknąć ryzyka związanego z punkcją transseptalną - zauważa dr Adam Priebe, kierownik Pracowni Elektrofizjologii KCCSiN.

Fot. Szpital Specjalistyczny im. Floriana Ceynowy w Wejherowie
Opisywany zabieg był kolejnym już przezskórnym zabiegiem przeprowadzonym u chorego z implantowanym przedsionkowym regulatorem przepływu. Wcześniej, wykorzystując ten specyficzny dostęp, wykonano zabieg ablacji arytmii komorowej oraz implantacji okludera uszka lewego przedsionka.