07.12.2020 18:33 5 NW/Szpitale Pomorskie
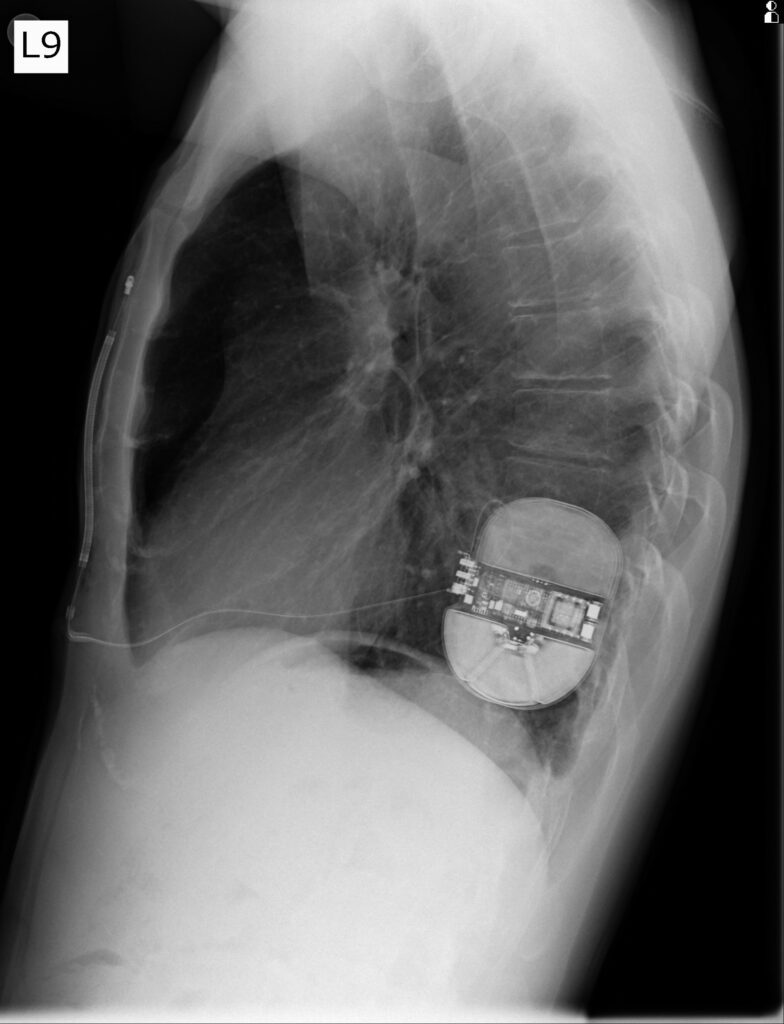
W Pracowni Elektroterapii Kaszubskiego Centrum Chorób Serca i Naczyń w Wejherowie wykonano po raz pierwszy dwa zabiegi implantacji podskórnych kardiowerterów-defibrylatorów (sICD). Są to podskórne urządzenia całkowicie podskórne z elektrodą defibrylacyjną umieszczoną pozanaczyniowo, najczęściej wzdłuż lewego brzegu mostka.
Wspomniane urządzenia nie są dla każdego, co podkreśla dr Roman Moroz, kierownik Pracowni Elektroterapii. Ich wyjątkowość polega na tym, że elektroda defibrylacyjna wszczepiana jest podskórnie, a nie wewnątrzsercowo, jak ma to miejsce w standardowych kardiowerterach-defibrylatorach.
– Dzięki takiemu postępowaniu zmniejsza się znacznie ryzyko wystąpienia powikłań, przede wszystkim infekcyjnych i zakrzepowych. I dlatego ten typ urządzeń implantuje się przede wszystkim pacjentom, u których zastosowanie układu wewnątrznaczyniowego jest niemożliwe lub z różnych względów wysoce ryzykowne, ale także u pacjentów młodych, u których z uwagi na spodziewany długi czas życia, prawdopodobieństwo wystąpienia powikłań na przestrzeni lat jest wysokie – dodaje dr Moroz.

Źródło:Szpitale Pomorskie
Oba zabiegi wykonano u młodych mężczyzn z ciężkim, przewlekłym uszkodzeniem serca. Trzeba było zabezpieczyć ich na wypadek wystąpienia groźnych dla życia zaburzeń rytmu serca. Jak czytamy na stronie Szpitali Pomorskich, pacjenci po zabiegu czuli się dobrze, a wykonane testy pokazały optymalne położenie urządzenia i elektrody. Ponieważ nie pojawiły się komplikacje, pacjenci wypisani zostali do domu już na drugi dzień.
– Zabiegi te stanowią kolejny ważny element uzupełniający system kompleksowej opieki nad pacjentem z ciężką niewydolnością serca, który jest oferowany przez Kaszubskie Centrum Chorób Serca i Naczyń w Wejherowie – podkreśla dr hab. Marek Szołkiewicz, Ordynator Oddziału Kardiologii i Angiologii Interwencyjnej Szpitala Specjalistycznego w Wejherowie.

Źródło:Szpitale Pomorskie
Zabieg wykonał zespół kardiologów w składzie: dr Roman Moroz i Jędrzej Michalik oraz pielęgniarek Agnieszki Cybulskiej i Ewy Kurek. Nad bezpieczeństwem czuwał anestezjolog Robert Szymański.