17.01.2020 12:03 11 rp/TTM
Elektroniczne papierosy cieszą się niesłabnącą popularnością, szczególnie wśród młodzieży. Nie brakuje jednak opinii, że w organizmie mogą wyrządzać szybsze i większe szkody niż tradycyjne papierosy. Choć zdania lekarzy są podzielone, młodzi użytkownicy e-papierosów muszą się liczyć z wystąpieniem nieodwracalnych zmian w płucach. Prawdopodobnie potwierdza to przykład młodej pacjentki z wejherowskiego szpitala.
O szkodliwości palenia tradycyjnych papierosów powiedziano już niemal wszystko. Światowa Organizacja Zdrowia podaje, że każdego roku z powodu czynnego i biernego palenia tytoniu umiera na całym świecie ponad siedem milionów osób. Nadal jednak niewiele wiadomo o skutkach używania e-papierosów, które cieszą się rosnącą popularnością, również w Polsce. Brakuje rzetelnych badań, których wyniki jednoznacznie wskazywałyby na destrukcyjny wpływ tego nowego nałogu. To nie musi jednak oznaczać, że jest on nieszkodliwy. Zdaniem części lekarzy, vapowanie może być przyczyną niebezpiecznych dolegliwości, przede wszystkim ze strony układu oddechowego.
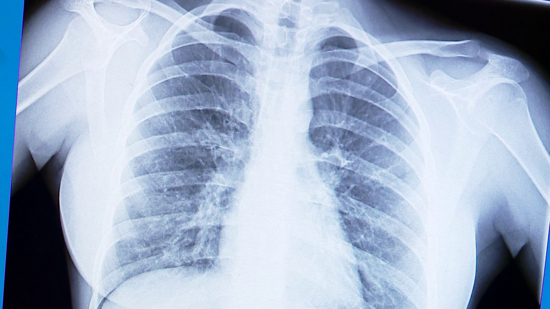
Być może potwierdzeniem tezy o szkodliwości e-papierosów jest przykład 16-latki, która niedawno trafiła na Oddział Pediatrii wejherowskiego szpitala. Od roku regularnie vapowała. Zdaniem lekarzy jej płuca wyglądały jak u 80-latki. U pacjentki doszło do uszkodzenia tkanki płucnej. Lekarze uważają, że te zmiany mogą być nieodwracalne. Pacjentka zmaga się z męczącym kaszlem, ale skutki vapowania mogą być też tragiczne.
– Pacjentka trafiła do nas z objawami dużej duszności, w stanie średnio ciężkim – wspomina Justyna Kiepuszewska, zastępca ordynatora Oddziału Pediatrii Szpitala Specjalistycznego w Wejherowie. – Początkowo myśleliśmy, że to zwykła infekcja. Dziewczyna gorączkowała i miała kaszel. W Polsce zanotowano jak na razie dwa zgony, które przypuszczalnie mogą mieć związek z używaniem sztucznych papierosów – dodaje.

Fot. Damian Klechowicz/TTM

Fot. Damian Klechowicz/TTM
Choroby płuc można już liczyć w tysiącach. Jednak dystrybutorzy elektronicznych papierosów zapewniają, że vapowanie jest zdrowszą alternatywą niże tradycyjne papierosy.
– Szkodliwość jest zdecydowanie mniejsza w stosunku do zwykłego tytoniu, nie są jednak przebadane długotrwałe skutki – przyznaje Maciej Baran, sprzedawca w sklepie z e-papierosami.
E-papierosy szczególnie upodobała sobie młodzież. Kolorowe opakowania i miły zapach, a także ogromny wybór mogą budzić ciekawość młodych ludzi. Choć sprzedawcy zaznaczają, że produkty są przeznaczone tylko dla osób dorosłych, niektórzy nie potrafią oprzeć się tej pokusie.

Fot. Damian Klechowicz/TTM

Fot. Damian Klechowicz/TTM
– Uważam, że to głupota palić takie coś, jestem przeciwniczką – mówiła Magda, mieszkanka Wejherowa.

Fot. Damian Klechowicz/TTM
Używanie papierosów elektronicznych, podobnie jak tych tradycyjnych, jest zabronione w miejscach publicznych. Jak się okazuje, vapowanie może się skończyć w szpitalu.