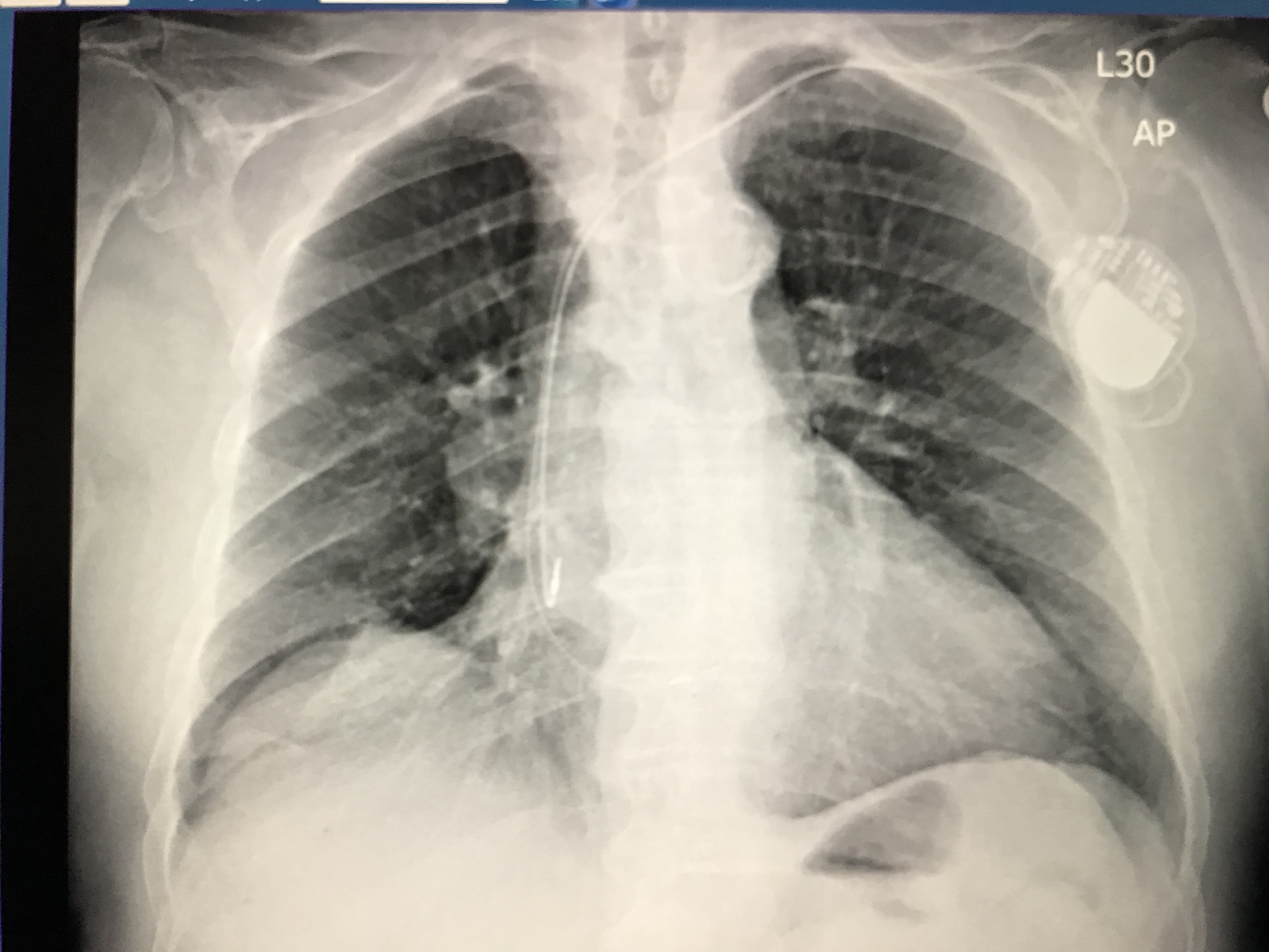
Tego typu zabiegi są wykonywane na świecie bardzo rzadko, są natomiast bardzo skuteczne i efektywne. W wejherowskim szpitalu po raz pierwszy wszczepiono pacjentowi stymulator dwujamowy z elektrodą prawokomorową implantowaną bezpośrednio w pęczek Hisa.
Kaszubskie Centrum Chorób Serca i Naczyń w Szpitalu Specjalistycznym w Wejherowie rozwija swoją działalność. 12 grudnia w Pracowni Elektroterapii i Elektrofizjologii Serca Oddziału Kardiologii i Angiologii Interwencyjnej w Wejherowie po raz pierwszy wszczepiono pacjentowi stymulator dwujamowy z elektrodą prawokomorową implantowaną bezpośrednio w pęczek Hisa.
– Tego typu zabiegi są na świecie wykonywane rzadko, ponieważ wymagają precyzyjnej elektrofizjologicznej nawigacji – mówi dr hab. n.med. Marek Szołkiewicz, ordynator Oddziału Kardiologii i Angiologii Interwencyjnej. - Ich złożoność oraz koszta w istotnym stopniu wykraczają poza zakres zabiegu klasycznego – dodaje.
Podczas zabiegu klasycznego, prawokomorową elektrodę stymulatora serca implantuje się w przegrodę międzykomorową lub w koniuszek prawej komory. Zawsze prowadzi to do zaburzeń synchronii skurczu komór serca, a często do różnego stopnia pogorszenia tolerancji wysiłku. Stymulacja pęczka Hisa jest najdoskonalszą metodą stymulacji, bo nie burzy synchronii skurczu komór i praktycznie przywraca fizjologiczną sekwencję stymulacji serca.
Zabieg przeprowadzili kardiolodzy z wejherowskiego szpitala: dr Roman Moroz i dr Adam Priebe przy wsparciu pielęgniarek Urszuli Cymanowskiej i Janiny Turskiej.
Przypomnijmy, że nowy oddział kardiologii otwarto na początku 2016 roku.

mat.pras.